Thousands of people living in the UK could see their lives transformed by the drug Voxelotor.
Around 4,000 people living with the potentially fatal blood disorder could see their lives transformed by the drug Voxelotor.
Hazel Attua, 33, has been taking the medication for nearly two years. The former finance worker said the chronic pain forced her to quit her career.
She said: “One of the most significant changes I’ve experienced is in my energy levels. Previously, the exhaustion from sickle cell made it challenging to function, impacting my ability to work and enjoy time with loved ones. I wasn’t living the life of a 20-something by any means.
“Since starting Voxelotor, my energy has soared, making a massive change to my daily routine. This has not only improved my physical well-being but also my mental health.”
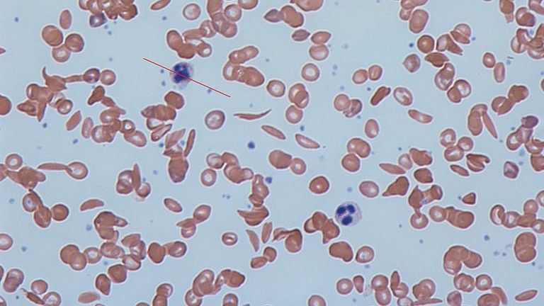
Sickle cell disorder causes red blood cells to take on a “sickle” shape, break and die early, which vastly reduces the amount of oxygen they can carry.
It leaves those affected with chronic anaemia and episodes of crippling pain, called crises, which can be life-threatening and frequently require hospital care.
The drug works by helping haemoglobin – a protein in red blood cells – hold on to more oxygen and prevent red blood cells from becoming misshapen.
It was initially rejected for widespread NHS use but the National Institute for Health and Care Excellence (NICE) has approved the drug in final draft guidance after a reduction in its price.
“We look forward to this being the first in a series of new treatment options for people living with sickle cell disorder.”
Helen Knight, director of medicines evaluation at NICE, said: “This is great news for people with sickle cell disease, particularly given the health inequalities experienced by people with the condition.”
The drug, which is taken as a once-a-day tablet, will be available straight away.
















